Skip to main content

Patterns of inheritance

Patterns of inheritance describe how genetic traits are passed from one generation to the next. Understanding these patterns is crucial for predicting how traits will appear in offspring and for studying genetic disorders. Use this resource to explore how genes combine and interact to create the diversity of life.

Before we explore how genetic traits are passed from one generation to the next, we must understand the genetic structures that are important for inheritance, and how inheritance through generations is represented. Both are shown using visual representations: karyotypes and pedigrees.

Karyotypes

A karyotype is a visual representation of an organism's complete set of chromosomes, arranged in pairs. It provides a snapshot of the genome, showing all the chromosomes found in the nucleus of a cell.

A human karyotype shows a complete set of \(46\) chromosomes in a typical body cell, arranged in \(23\) pairs. Of these, \(22\) pairs are autosomes, labelled from \(1\) to \(22\) by size. Chromosome \(1\) is the largest.

The \(23\)rd pair is the sex chromosomes, \(X\) and \(Y\), which determine a person's sex. Females usually have two \(X\) chromosomes \((XX)\), while males have one \(X\) and one \(Y\) chromosome \((XY)\).

46 chromosomes arranged in pairs from largest to smallest.
A human male karyotype, by National Human Genome Research Institute via Wikimedia Commons, licensed under CC0

A karyotype gives important insights into genetic health and variations, such as by showing changes like extra or missing chromosomes.

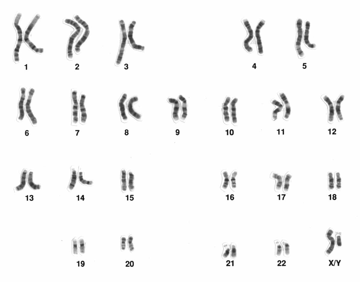
Karyotyping helps diagnose Down syndrome, which involves an extra copy of chromosome \(21\).
The karyotype for a person with Down syndrome, with an extra copy of chromosome 21.
A human karyotype for an individual with Down syndrome, by U.S. Department of Energy Human Genome Project via Wikimedia Commons, licensed under CC0

Down syndrome is not inherited through genes located on chromosomes. However, many traits are inherited and are found on autosomes or sex chromosomes.

Pedigrees

A pedigree is a chart that shows how a trait is passed down generations. It is a family tree where:

  • Males are shown as squares.
  • Females are shown as circles.
  • A horizontal marriage line is drawn between parents.
  • A vertical line of descent is drawn from the marriage line to the next generation.
  • Children are shown in the next generation, with a sibling line linking them.

Different colours are used to show whether an individual is affected or unaffected by a given trait—in other words, whether they have or do not have the trait. Here, we will show affected individuals with red and unaffected individuals with white.

A labelled pedigree.
[transcript]

Pedigree

A pedigree with three generations is shown. Females are shown as circles and males as squares. If they are affected by a trait, the shape is shaded in red. A marriage line is used between mothers and fathers. If they have children, a line of descent is shown. If there are multiple children, a sibling line is used to join them.
[/transcript]

Consider the following pedigree.
A pedigree with four generations.
[transcript]

Pedigree

  1. First generation:
    • Female is married to male. Neither are affected by the trait.
    • They have three children.
  2. Second generation:
    • Two sons and one daughter are all affected by the trait.
    • The first son has three children with an unaffected female.
    • The second son does not have children.
    • The daughter has one child with an unaffected male.
  3. Third generation:
    • The first family has one affected son and two unaffected sons.
    • The affected son has two children with an unaffected female.
    • Neither of the unaffected sons have children.
    • The second family has one unaffected daughter.
    • The unaffected daughter has one child with an unaffected male.
  4. Fourth generation:
    • The first family has one affected daughter and one affected son.
    • The second family has one affected daughter.
[/transcript]

  1. How many males are affected by the trait?
  2. How many females are affected by the trait?
  3. How many unaffected males are there in the third generation?
  4. How many affected females are there in the second generation?

Affected males are represented by red squares. There are four red squares, so four affected males.

Affected females are represented by red circles. There are three red circles, so three affected females.

The third generation is the third line. There are three white squares in the third line, so three unaffected males in the third generation.

The second generation is the second line. There is one red circle in the second line, so one affected female in the second generation.

Autosomal traits

Autosomal traits are genetic characteristics determined by genes located on the \(22\) pairs of non-sex chromosomes, known as autosomes. These traits can be inherited as either dominant or recessive, influencing whether a single copy or two copies of an allele are needed to express a trait.

Autosomal traits affect individuals regardless of their sex.

Autosomal dominant traits

A person with freckles.
Freckles, by Frédéric Poirot via Flickr, licensed under CC BY-NC-ND 2.0
An autosomal dominant trait requires only one copy of the dominant allele for the trait to be expressed. This means if a child inherits a dominant allele from at least one parent, they will display the trait.

Common examples include traits like widow's peak, freckles or certain genetic conditions such as Huntington's disease.

Even if only one parent carries the dominant allele, there's a \(50\%\) chance for the child to inherit the trait.

Here is a pedigree of an autosomal dominant trait.

A pedgiree with four generations.
[transcript]

Pedigree for autosomal dominant trait

  1. First generation:
    • An affected female is married to an unaffected male.
    • They have three children.
  2. Second generation:
    • The two sons are affected and the daughter is unaffected.
    • The first son has three children with an unaffected female.
    • The second son does not have children.
    • The daughter has one child with an unaffected male.
  3. Third generation:
    • The first family has two affected sons and one unaffected son.
    • The first affected son has two children with an unaffected female.
    • The second affected son and unaffected son do not have children.
    • The second family has one unaffected daughter.
    • The unaffected daughter has one child with an unaffected male.
  4. Fourth generation:
    • The first family has one affected daughter and one unaffected son.
    • The second family has one unaffected daughter.
[/transcript]

To spot an autosomal dominant trait, check the parents of the affected individuals. If one or more parent is affected, then it is an autosomal dominant trait.

Autosomal recessive traits

An autosomal recessive trait requires two copies of the recessive allele for the trait to be expressed. This means if a child displays a trait that neither parent shows, both parents must be carriers of the recessive allele. A carrier is a person who has the allele for the gene but does not express it.

Examples include traits like straight hairline or conditions such as cystic fibrosis. Albinoism, where the body makes little or no melanin, is also an autosomal recessive trait.

An albino wallaby.
Albino Bennett's wallaby, by pen_ash via Pixabay, licensed under CC0

If both parents are carriers, there's a \(25\%\) chance that their child will inherit and express the trait.

Here is a pedigree of an autosomal recessive trait.

A pedigree with four generations.
[transcript]

Pedigree for autosomal recessive trait

  1. First generation:
    • An affected female is married to an unaffected male.
    • They have three children.
  2. Second generation:
    • The two sons and one daughter are unaffected.
    • The first son has three children with an unaffected female.
    • The second son does not have children.
    • The daughter has one child with an unaffected male.
  3. Third generation:
    • The first family has one affected son and two unaffected sons.
    • The first unaffected son has two children with an affected female.
    • The second unaffected son and affected son do not have children.
    • The second family has one affected daughter.
    • The affected daughter has one child with an unaffected male.
  4. Fourth generation:
    • The first family has one unaffected daughter and one affected son.
    • The second family has one unaffected daughter.
[/transcript]

To spot an autosomal recessive trait, check the parents of the affected individuals. If neither of them are affected, then it is an autosomal recessive trait. Autosomal recessive traits also skips generations.

Sex-linked traits

Sex-linked traits are associated with genes located on the sex chromosomes, particularly the \(X\) chromosome. These traits often exhibit different inheritance patterns in males and females due to the presence of one \(X\) chromosome in males and two in females.

\(X\)-linked dominant traits

\(X\)-linked dominant traits are caused by dominant alleles on the \(X\) chromosome. A child inherits the trait when they have a single copy of a dominant allele, shown as \(X^{A}\).

  • If a female has \(X^{A}X\) or \(X^{A}X^{A}\), they will show the trait because of the dominant allele. An affected father (\(X^{A}Y\)) will pass the trait on to all daughters (\(X^{A}X\)) but no sons.
  • If a male has \(X^{A}Y\), they will show the trait because they have one \(X\) chromosome with the dominant allele. An affected mother (\(X^{A}X\) or \(X^{A}X^{A}\)) can pass the trait to both sons (\(X^{A}Y\)) and daughters (\(X^{A}X\)).

Aicardi syndrome, where an individual has a partial or absent structure in their brain called the corpus callosum, is \(X\)-linked dominant. There are not many well-documented \(X\)-linked traits that are not disorders.

Here is a pedigree of a \(X\)-linked dominant trait.

A pedigree with four generations.
[transcript]

Pedigree for X-linked dominant trait

  1. First generation:
    • An affected female is married to an unaffected male.
    • They have three children.
  2. Second generation:
    • The two sons are affected and the daughter is unaffected.
    • The first son has three children with an unaffected female.
    • The second son does not have children.
    • The daughter has one child with an unaffected male.
  3. Third generation:
    • The first family has two affected sons and one unaffected son.
    • The first unaffected son has two children with an unaffected female.
    • The second unaffected son and affected son do not have children.
    • The second family has one unaffected daughter.
    • The unaffected daughter has one child with an unaffected male.
  4. Fourth generation:
    • The first family has one unaffected daughter and one unaffected son.
    • The second family has one unaffected daughter.
[/transcript]

To spot an \(X\)-linked dominant trait, check the affected individuals. If a father is affected, all his daughters will be affected. If a mother is affected, her sons and daughters can be affected.

\(X\)-linked recessive traits

\(X\)-linked recessive traits result from recessive alleles on the \(X\) chromosome. Males are more affected, as they have only one \(X\) chromosome and only need one recessive allele (\(X^{a}\)) to express the trait.

  • Males with \(X^{a}Y\) express the trait because they have one \(X\) chromosome with the recessive allele. They usually inherit the trait from a carrier (\(X^{A}X^{a}\)) or affected mother (\(X^{a}X^{a}\))
  • Affected females must inherit two recessive alleles to express the trait; they must have the genotype \(X^{a}X^{a}\). If they have \(X^{A}X^{a}\), they are carriers but do not show the trait.

Since males only have one \(X\) chromosome, they are more likely to express \(X\)-linked recessive traits.

An example of an \(X\)-linked recessive trait is red–green colour blindness.

Eight Ishihara charts for testing colour blindness.
Eight Ishihara charts for testing colour blindness, by Wellcome Images via Wikimedia Commons, licensed under CC BY 4.0

Here is a pedigree of a \(X\)-linked recessive trait.

A pedigree with four generations.
[transcript]

Pedigree for X-linked recessive trait

  1. First generation:
    • An unaffected female is married to an unaffected male.
    • They have three children.
  2. Second generation:
    • One son is affected and the other son and the daughter are unaffected.
    • The affected son has three children with an unaffected female.
    • The unaffected son does not have children.
    • The daughter has one child with an affected male.
  3. Third generation:
    • The first family has three unaffected sons.
    • The first unaffected son has two children with an affected female.
    • The other unaffected sons do not have children.
    • The second family has one unaffected daughter.
    • The unaffected daughter has one child with an unaffected male.
  4. Fourth generation:
    • The first family has one unaffected daughter and one affected son.
    • The second family has one unaffected daughter.
[/transcript]

To spot an \(X\)-linked recessive trait, check the affected individuals. If mostly males are affected and the trait skips generations, it is likely \(X\)-linked recessive. An affected female usually has an affected father.

\(Y\)-linked traits

Y-linked traits are associated with genes located on the \(Y\) chromosome. They are only present in males as females do not have a \(Y\) chromosome. These traits are passed directly from father to son, as the \(Y\) chromosome is only inherited through the paternal line.

Examples of \(Y\)-linked traits are webbed toes and hairy ears.

Here is a pedigree of a \(Y\)-linked trait.

A pedigree with four generations.
[transcript]

Pedigree for Y-linked trait

  1. First generation:
    • An unaffected female is married to an unaffected male.
    • They have three children.
  2. Second generation:
    • One son is affected and the other son and the daughter are unaffected.
    • The unaffected son has three children with an unaffected female.
    • The affected son does not have children.
    • The daughter has one child with an affected male.
  3. Third generation:
    • The first family has three unaffected sons.
    • The first unaffected son has two children with an unaffected female.
    • The other unaffected sons do not have children.
    • The second family has one unaffected daughter.
    • The unaffected daughter has one child with an affected male.
  4. Fourth generation:
    • The first family has one unaffected daughter and one affected son.
    • The second family has one unaffected daughter.
[/transcript]

To spot a \(Y\)-linked trait, check whether the trait only affects males and is passed from father to son. No females are affected by \(Y\)-linked traits.

Summary

To help you interpret pedigrees and identify whether a trait is autosomal dominant, recessive, or sex-linked, you can use this flowchart.

Decision tree for determining the pattern of inheritance.
[transcript]

What is the pattern of inheritance of a trait?

Do all affected individuals have an affected parent?

  • Yes: Dominant
    • Do all affected males have an affected mother?
      • Yes: Are the daughters of an affected father all affected?
        • Yes: Are the sons of an affected father all affected?
          • Yes: Autosomal dominant
          • No: X-linked dominant
        • No: Autosomal dominant
      • No: Autosomal dominant
  • No: Recessive
    • Does the trait mostly affect males?
      • Yes: Do all affected fathers have affected sons?
        • Yes: Y-linked
        • No: X-linked recessive
      • No: Autosomal recessive

<!--

What is the pattern of inheritance of a trait? flowchart

Do all affected individuals have an affected parent?

Yes: Dominant

  • Do all affected males have an affected mother?
    • Yes
      • Are the daughters of an affected father all affected?
        • Yes
          • Are all the sons of an affected father all affected?
            • Yes: Autosomal dominant
            • No: X-linked dominant
        • No: Autosomal dominant
    • No: Autosomal dominant

No

  • Does the trait mostly affect males?
    • Yes
      • Do all affected fathers have affected sons?
        • Yes: Y-linked
        • No: X-linked recessive
    • No: Autosomal recessive
-->

[/transcript]

Exercise

See how well you understand patterns of inheritance with a quick quiz.

Ready for some more? Practise your skills by determining the pattern of inheritance of traits based on pedigrees.

Consider the following pedigrees and determine whether the trait displayed is autosomal dominant, autosomal recessive, \(X\)-linked dominant, \(X\)-linked recessive, or \(Y\)-linked.

  1. [transcript]

    Pedigree for part a

    1. First generation
      • An unaffected female is married to an affected male.
      • They have four children.
    2. Second generation
      • Two daughters are affected and two sons are unaffected.
      • One affected daughter is married to an unaffected male.
      • The other children do not have any children of their own.
    3. Third generation
      • The family has one affected son, one unaffected son, one affected daughter and one unaffected daughter.

    [/transcript]

  2. [transcript]

    Pedigree for part b

    1. First generation
      • An unaffected female is married to an affected male.
      • They have six children.
    2. Second generation
      • Three sons are affected and none of the three daughters are unaffected.
      • One unaffected daughter is married to an unaffected male.
      • The other children do not have any children of their own.
    3. Third generation
      • The family has two sons and two daughters. None of them are affected.

    [/transcript]

  3. [transcript]

    Pedigree for part c

    1. First generation
      • An affected female is married to an unaffected male.
      • They have six children.
    2. Second generation
      • Two daughters are affected and one son is affected. The other two sons and one daughter are unaffected.
      • One affected daughter is married to an unaffected male.
      • The other children do not have any children of their own.
    3. Third generation
      • The family has two affected sons, one affected daughter and one unaffected daughter.

    [/transcript]

  4. [transcript]

    Pedigree for part d

    1. First generation
      • An unaffected female is married to an affected male.
      • They have four children.
    2. Second generation
      • Both of their sons are affected.
      • One affected son is married to an affected female.
      • The other affected son is married to an unaffected female.
    3. Third generation
      • The first family has one unaffected son.
      • The second family has one affected daughter.
    4. Fourth generation
      • The unaffected son in the first family marries an unaffected female, with whom he has three unaffected sons.
      • The affected daughter in the second family marries an unaffected male, with whom she has one affected son.

    [/transcript]

  5. [transcript]

    Pedigree for part e

    1. First generation
      • An unaffected female is married to an affected male.
      • They have four children.
    2. Second generation
      • Two sons and two daughters are unaffected.
      • One unaffected daughter is married to an unaffected male.
      • The other children do not have any children of their own.
    3. Third generation
      • The family has one affected son, one unaffected son, and two unaffected daughters.

    [/transcript]

  6. [transcript]

    Pedigree part f

    1. First generation
      • An affected female is married to an unaffected male.
      • They have three children.
    2. Second generation
      • Two sons are unaffected and one son is affected.
      • One unaffected son marries an affected female. They have three children together.
      • The affected son marries an affected female. They have one child together.
      • The other son does not have any children of their own.
    3. Third generation
      • The first family has three unaffected sons.
      • The second family has one affected daughter.

    [/transcript]

  7. [transcript]

    Pedigree part g

    1. First generation
      • An affected female is married to an unaffected male.
      • They have four children.
    2. Second generation
      • Two sons are affected and two daughters are unaffected.
      • One affected son is married to an affected female.
      • One unaffected daughter is married to an unaffected male.
      • The other two children do not have any children of their own.
    3. Third generation
      • The first family has two affected sons and one affected daughter.
      • The second family has one affected son, one unaffected son, and two unaffected daughters.

    [/transcript]

  1. \(X\)-linked dominant
  2. \(Y\)-linked
  3. Autosomal dominant
  4. Autosomal dominant
  5. \(X\)-linked recessive
  6. Autosomal recessive
  7. \(X\)-linked recessive

Data drill

Read the scenario and use the information provided to answer the questions in the quiz.

Alesander is a second year masters student studying the inheritance patterns of Duchenne Muscular Dystrophy (DMD), a severe type of muscular dystrophy that affects mostly boys. DMD is caused by a mutation in the DMD gene on the X chromosome.

Alesander has collected data from several families to understand how this trait is passed down through generations.

Family Individual Gender Phenotype
A Father Male Unaffected
A Mother Female Unaffected
A Son Male Affected
A Daughter Female Unaffected
B Father Male Unaffected
B Mother Female Unaffected
B Son 1 Male Unaffected
B Son 2 Male Affected
C Father Male Affected
C Mother Female Unaffected
C Daughter Female Unaffected

Images on this page by RMIT, licensed under CC BY-NC 4.0